Dental Reviewed
Dentist's Tips

Bruxism (Teeth Grinding): Causes, Symptoms & Treatment

Have you ever woken up with a sore jaw or aching teeth? Perhaps your partner has mentioned hearing grinding sounds while you sleep. If this sounds familiar, you may be experiencing bruxism, a common condition that affects millions of people worldwide. Bruxism is the medical term for teeth grinding and jaw clenching, and while many people don't even realize they have it, the condition can lead to serious dental and health problems if left untreated. The good news is that effective treatments are available, and understanding bruxism is the first step toward finding relief.

Written by Marcus Hale

Read time: 12 min read
Bruxism (Teeth Grinding): Causes, Symptoms & Treatment

Recent research shows that approximately 22% of people experience some form of bruxism, making it a surprisingly common condition. Whether you grind your teeth during sleep or clench your jaw during the day, this comprehensive guide will help you understand what bruxism is, what causes it, and how to treat it effectively.

What Is Bruxism?

Bruxism (pronounced BRUK-siz-um) is a repetitive jaw muscle activity characterized by grinding or clenching of the teeth and bracing or thrusting of the mandible (lower jaw). This involuntary movement disorder can occur either during sleep or while you're awake, and it's much more than just an annoying habit.

The term "bruxism" comes from the Greek word "βρυγμός οδόντων" (vrigmos ódodon), which literally translates to "gnashing of teeth." While occasional teeth grinding is normal and usually harmless, chronic bruxism can cause significant damage to your teeth, jaw joints, and overall quality of life.

According to Johns Hopkins Medicine, bruxism is classified as a parafunctional activity, meaning it's unrelated to normal functions like eating or talking. Instead, it's an involuntary behavior that many people aren't even aware they're doing. Some people grind their teeth with such force that the sound can wake a sleeping partner, while others may only discover they have bruxism when their dentist identifies wear patterns on their teeth during a routine exam.

It's important to understand that bruxism isn't a conscious habit you can simply stop. The movements are largely involuntary, particularly during sleep, which is why treatment often requires a combination of protective devices, behavioral changes, and addressing underlying causes.

Types of Bruxism

Understanding which type of bruxism you have is crucial for finding the right treatment approach. Bruxism manifests in different ways depending on when it occurs and what triggers it.

Sleep Bruxism (Nocturnal Bruxism)

Sleep bruxism, also known as nocturnal bruxism, occurs during sleep and is the most commonly recognized form of the condition. Research published in the Journal of Oral Rehabilitation indicates that about 8% of adults experience regular sleep bruxism, while the condition affects 15-40% of children.

Sleep bruxism is classified as a sleep-related movement disorder, placing it in the same category as restless leg syndrome and sleepwalking. It typically occurs during lighter stages of sleep or during transition periods between sleep stages. The grinding can be rhythmic (with a regular pattern) or non-rhythmic (sporadic and unpredictable).

Because it happens while you're unconscious, sleep bruxism is often harder to control and may go unnoticed for years. Many people only discover they have it when a sleep partner complains about the grinding sounds, or when a dentist notices significant tooth wear during a dental examination.

Awake Bruxism (Diurnal Bruxism)

Awake bruxism occurs during waking hours and tends to manifest more as jaw clenching rather than grinding. Studies show that approximately 23% of people experience awake bruxism, making it slightly more common than sleep bruxism.

This type of bruxism is often triggered by stress, concentration, or anxiety. You might find yourself clenching your jaw while working on a difficult task, driving in traffic, or dealing with stressful situations. Some people become aware of their clenching and can consciously stop it, while others do it semiconsciously without realizing it until they notice jaw pain or tension.

Awake bruxism is generally easier to manage than sleep bruxism because you can potentially become aware of the behavior and learn to modify it through habit reversal training and biofeedback techniques.

Primary vs. Secondary Bruxism

Bruxism can also be classified as primary or secondary. Primary bruxism occurs without any clear medical cause and is believed to be related to factors like stress, genetics, or sleep disturbances. Secondary bruxism, on the other hand, is directly associated with an underlying medical condition, medication side effect, or substance use.

Identifying whether your bruxism is primary or secondary is important because treating the underlying cause can often significantly reduce or eliminate grinding and clenching behaviors.

What Causes Bruxism?

Bruxism is a multifactorial condition, meaning it typically results from a combination of physical, psychological, and genetic factors rather than a single cause. Understanding what triggers teeth grinding is essential for finding effective treatment.

Psychological Factors

Stress and anxiety are the most commonly cited causes of bruxism, particularly for awake bruxism. When you're under psychological pressure, your body's stress response can manifest in various ways, including increased muscle tension in the jaw. Johns Hopkins Medicine notes that bruxism often affects people with nervous tension, anger, pain, or frustration.

Depression and other mood disorders are also associated with increased rates of bruxism. The relationship appears to be bidirectional, with stress potentially triggering grinding, and chronic bruxism potentially contributing to increased stress and anxiety due to pain and sleep disruption.

Certain personality traits have been linked to higher rates of bruxism. People who are competitive, aggressive, hurried, or hyperactive may be more prone to teeth grinding and jaw clenching. However, it's important to note that bruxism can affect anyone, regardless of personality type.

Sleep-Related Factors

Sleep bruxism is closely connected to sleep architecture and quality. Research in StatPearls indicates that sleep bruxism is associated with microarousals, which are brief periods of waking during sleep. These arousal events are often accompanied by changes in heart rate, breathing patterns, and increased muscle activity, including grinding or clenching.

Obstructive sleep apnea (OSA) has a strong association with sleep bruxism. While the exact relationship isn't fully understood, many people with sleep apnea also grind their teeth, and treating the apnea can sometimes reduce bruxism symptoms. Other sleep disorders, including insomnia, snoring, and various parasomnias (sleep talking, sleepwalking), are also linked to increased rates of teeth grinding.

Sleep deprivation and irregular sleep schedules can exacerbate bruxism. Poor sleep hygiene, irregular bedtimes, and insufficient sleep duration may all contribute to increased grinding episodes.

Physical and Medical Factors

Dental factors were historically thought to be major causes of bruxism, but current research suggests that malocclusion (misaligned bite) and tooth irregularities play a smaller role than once believed. However, in some cases, missing teeth, crooked teeth, or an abnormal bite can contribute to grinding behaviors.

Temporomandibular joint (TMJ) disorders and bruxism have a complex, often bidirectional relationship. Bruxism can contribute to TMJ problems, and existing TMJ issues may trigger or worsen grinding.

Several neurological conditions are associated with higher rates of bruxism, including Parkinson's disease, Huntington's disease, and epilepsy. According to medical literature, these conditions may affect the brain's basal ganglia and neurotransmitter systems, which play a role in controlling jaw muscle movements.

Gastroesophageal reflux disease (GERD) has been linked to bruxism, with some research suggesting that acid reflux episodes may trigger grinding behaviors, possibly as a protective mechanism to increase saliva production and neutralize stomach acid in the esophagus.

Lifestyle and Substance Factors

Several lifestyle factors and substances can increase the likelihood of bruxism or make it worse. Caffeine consumption, particularly in large amounts or close to bedtime, can contribute to teeth grinding. The stimulant effects of caffeine may increase muscle tension and disrupt sleep patterns.

Alcohol use is associated with increased bruxism. While alcohol may help you fall asleep initially, it disrupts sleep quality and can lead to more grinding episodes during the night.

Tobacco and nicotine use have been linked to higher rates of bruxism. Research suggests that smokers report bruxism twice as frequently as nonsmokers, and nicotine is known to stimulate central dopaminergic activity, which may contribute to grinding behaviors.

Recreational drug use, particularly stimulants like cocaine, methamphetamine, and MDMA (ecstasy), strongly increases the risk of bruxism. These substances affect dopamine levels in the brain, which play a significant role in muscle movement control.

Medications That Can Cause Bruxism

Certain prescription medications can trigger or worsen bruxism as a side effect. Selective serotonin reuptake inhibitors (SSRIs), commonly prescribed for depression and anxiety, are among the most frequently reported medications associated with bruxism. These include fluoxetine (Prozac), sertraline (Zoloft), paroxetine (Paxil), citalopram (Celexa), escitalopram (Lexapro), and fluvoxamine (Luvox).

Serotonin-norepinephrine reuptake inhibitors (SNRIs) like venlafaxine (Effexor) and duloxetine (Cymbalta) can also cause bruxism. The mechanism appears to involve an imbalance in brain neurotransmitters, particularly affecting the dopaminergic system.

Antipsychotic medications, including haloperidol and risperidone, have been associated with bruxism and other movement disorders. ADHD medications, particularly stimulants like methylphenidate (Ritalin) and amphetamine salts (Adderall), can also trigger teeth grinding, though atomoxetine (Strattera) has been specifically linked to both sleep and awake bruxism.

If you suspect your medication is causing or worsening bruxism, don't stop taking it without consulting your healthcare provider. In many cases, adjusting the dosage, switching to a different medication, or adding another medication to counteract the side effect can help manage the problem.

Genetic Factors

There's strong evidence that bruxism runs in families. Research shows that 25% of people who regularly grind their teeth have a first-degree relative with the same condition, compared to only 7% of those who don't grind their teeth. Children with a family history of bruxism are significantly more likely to develop the condition themselves.

Studies have identified certain genetic variations in dopamine and serotonin receptors that may predispose individuals to bruxism. These genetic factors likely interact with environmental triggers to determine whether someone develops grinding behaviors.

Bruxism Symptoms and Warning Signs

Many people with bruxism don't realize they have it until symptoms become noticeable or a dentist identifies signs during a routine examination. Recognizing the symptoms can help you seek treatment before serious damage occurs.

Physical Symptoms

The most common symptom of bruxism is jaw pain or soreness, particularly upon waking in the morning. The masseter muscles (the large muscles on the sides of your jaw) may feel tight, tender, or fatigued. This discomfort often improves throughout the day for sleep bruxism but may worsen during the day for awake bruxism.

Headaches are another frequent complaint, particularly temporal headaches (pain in the temples) that feel similar to tension headaches. These often occur in the morning for people with sleep bruxism and may be mistaken for migraines or sinus headaches.

Facial pain and muscle soreness can extend beyond the jaw to include the cheeks, temples, and even the neck and shoulders. The interconnected nature of facial and neck muscles means that chronic jaw tension can create a cascade of discomfort.

Earaches or a feeling of pressure in the ears are common, even when there's no ear infection present. This occurs because the temporomandibular joint is located very close to the ear canal, and inflammation or tension in this joint can create referred pain in the ear.

Tooth sensitivity and pain may develop as the protective enamel layer wears away, exposing the more sensitive dentin underneath. You might notice increased sensitivity to hot, cold, or sweet foods and beverages.

Dental Signs

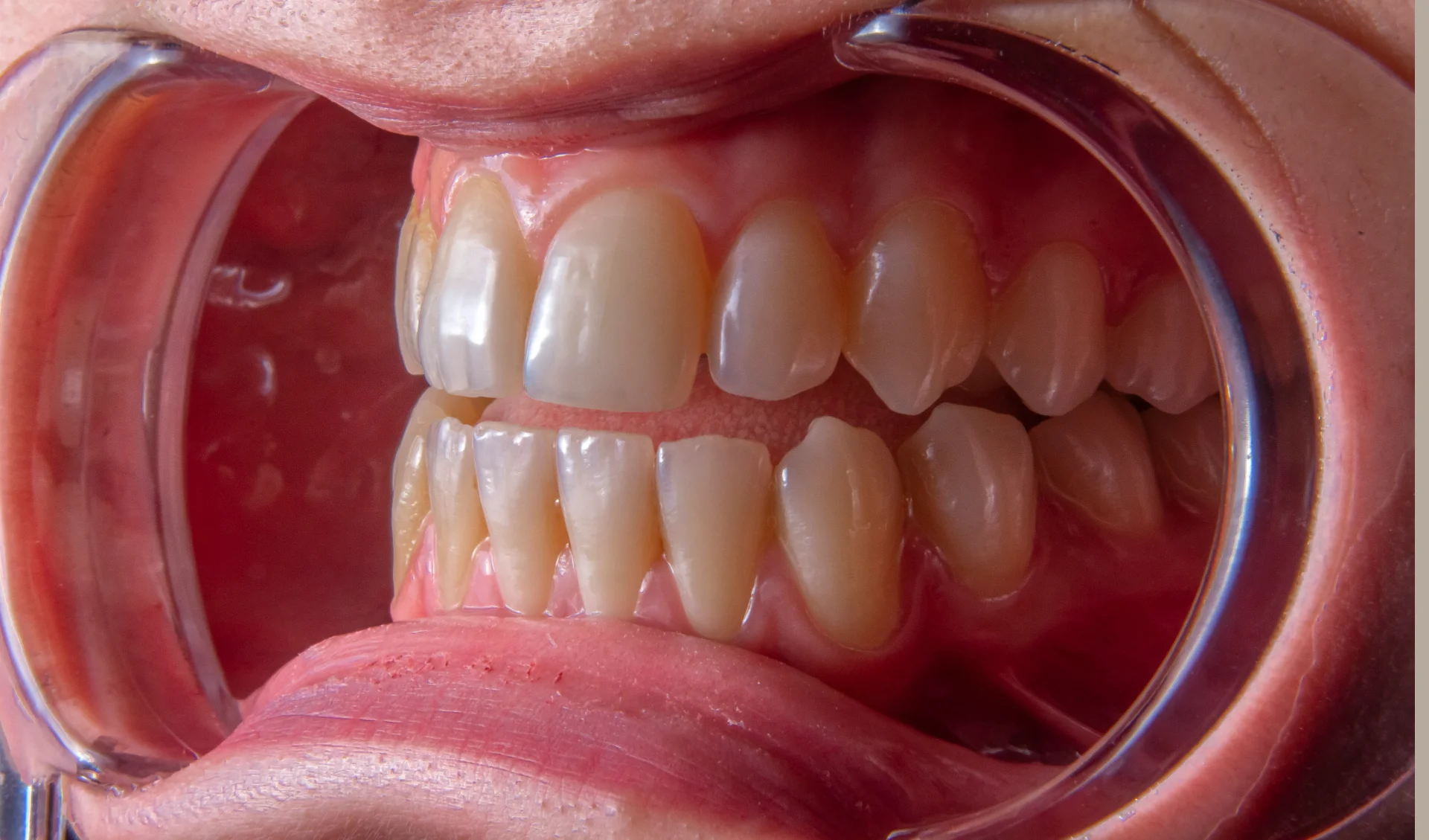
Your dentist may be the first to identify bruxism by observing characteristic patterns of tooth wear. Flattened tooth surfaces, particularly on the molars and front teeth, are a telltale sign. The teeth may appear shorter than they should be, with worn-down edges.

Chipped, fractured, or loose teeth can result from the excessive forces exerted during grinding. Even if your teeth don't break completely, tiny fractures in the enamel can develop over time, weakening the tooth structure.

Damaged dental work is another common sign. Crowns, fillings, and other restorations may crack, chip, or fall out more frequently if you grind your teeth. The repetitive forces can exceed what dental materials are designed to withstand.

If you look at your tongue, you might notice scalloped edges or indentations along the sides where your tongue presses against your teeth. Similarly, you may see damage to the inside of your cheeks from biting or pressing them against your teeth.

TMJ-Related Symptoms

Clicking, popping, or grating sounds when you open or close your mouth can indicate temporomandibular joint involvement. While these sounds aren't always painful, they suggest that the joint isn't moving smoothly.

Jaw stiffness or a limited range of motion may make it difficult to open your mouth fully. Some people experience temporary jaw locking, where the jaw gets stuck in an open or closed position.

Pain directly in front of the ear, where the temporomandibular joint is located, is a classic sign of TMJ disorders often associated with chronic bruxism.

Signs Others Might Notice

Sleep partners often notice grinding sounds first, which can range from subtle to surprisingly loud. These sounds may wake the partner but not the person doing the grinding.

During the day, others might observe that you frequently clench your jaw, especially during stressful moments or intense concentration. Your facial appearance might look tense, with tight jaw muscles visible.

Over time, chronic bruxism can actually change facial structure. The masseter muscles may become enlarged (hypertrophied) from constant use, creating a more square-jawed appearance.

When to See a Dentist

You should schedule a dental appointment if you experience persistent jaw pain, headaches upon waking, visible tooth damage, increased tooth sensitivity, or if your sleep partner reports grinding sounds. Early intervention can prevent more serious complications and preserve your dental health.

Don't wait for symptoms to become severe. According to dental professionals, untreated bruxism can lead to significant tooth damage, costly dental repairs, and chronic pain conditions that are more difficult to treat once they become established.

Bruxism in Children

Parents are often concerned when they hear their child grinding teeth at night, but childhood bruxism is surprisingly common and often resolves on its own as children grow.

Prevalence and Age Ranges

Research indicates that bruxism affects 15-40% of children, with prevalence rates varying based on age and assessment methods. The condition often begins when baby teeth first emerge, typically around age 1-2 years, and peaks between ages 3-10.

Interestingly, many children naturally outgrow bruxism by the time they reach adolescence. Studies show that the incidence decreases significantly after age 9-10, which supports a watchful waiting approach for many cases of childhood bruxism.

Specific Causes in Children

Teething pain and discomfort are common triggers for grinding in very young children. The pressure of grinding may actually provide relief from the discomfort of emerging teeth.

Earaches and sinus infections can also trigger bruxism, as children may grind their teeth in response to pain or pressure in the head and face.

As permanent teeth come in and replace baby teeth, the changing bite alignment can temporarily trigger grinding behaviors. This is often a self-limiting problem that resolves once the teeth fully erupt and settle into position.

Stress affects children, too, even young ones. Major life changes like starting school, parental divorce, family conflicts, moving to a new home, or social difficulties with peers can all trigger stress-related teeth grinding.

ADHD and anxiety disorders are more common in children with bruxism. Studies show that children with ADHD who take stimulant medications have higher rates of bruxism than those who don't take medications or children without ADHD.

Certain medical conditions increase the likelihood of bruxism in children. These include cerebral palsy, Down syndrome, and autism spectrum disorders. Research shows that children with Rett syndrome have a 74% prevalence of bruxism, while 48% of children with cerebral palsy and 40% with Down syndrome grind their teeth.

Sleep disorders, particularly enlarged tonsils and adenoids, restricted tongue mobility, and nasal obstruction, are strongly associated with childhood bruxism. One study found that 90.9% of children with these conditions also had sleep bruxism.

Symptoms in Children

Parents may notice grinding or clenching sounds coming from their child's room during sleep. These sounds can sometimes be quite loud and concerning.

Children with bruxism might complain of jaw soreness, particularly in the morning, or headaches. They may also report that their teeth hurt or feel sensitive.

During dental exams, visible tooth wear on primary (baby) teeth may be noticed, though some degree of wear is normal and expected in children.

Irritability, difficulty sleeping, or complaints about poor sleep quality can all be related to bruxism, particularly if the grinding disrupts sleep architecture.

When to Worry

While most childhood bruxism resolves naturally, there are situations that warrant professional attention. Persistent grinding beyond age 6-7, especially if it continues after most permanent teeth have erupted, may require intervention.

Visible damage to permanent teeth is more concerning than wear on baby teeth and should be evaluated promptly. If your child complains of pain, experiences sleep disruption that affects daytime functioning, or shows signs of other symptoms like headaches or jaw clicking, consult with a dentist.

Treatment Approaches for Children

For most children with mild bruxism and no significant tooth damage, pediatric dental experts recommend a watchful waiting approach. Regular dental checkups can monitor the situation, and in many cases, the grinding resolves as the child grows without any intervention needed.

When treatment is necessary, it focuses on addressing underlying causes. Treating allergies, removing enlarged tonsils or adenoids, or managing sleep disorders can often resolve related bruxism.

Stress reduction techniques appropriate for children's developmental levels can be very effective. Creating calm bedtime routines, reading together, taking warm baths, listening to soothing music, and providing a stable, secure home environment all help reduce anxiety-related grinding.

Custom mouth guards are typically reserved for severe cases where significant tooth damage is occurring. Dental professionals caution that night guards are generally not recommended for young children because they can interfere with normal tooth growth and alignment. However, for older children or adolescents with extensive tooth damage, custom-fitted guards may be appropriate.

If a behavioral or psychological issue is contributing to bruxism, working with a child psychologist or counselor may help address the root cause.

Parent Guidance

Parents can help by monitoring their child's bruxism without making them anxious about it. Avoid making a big deal about the grinding, as this can increase stress and potentially worsen the behavior.

Focus on creating calming bedtime routines that help your child relax before sleep. Consistency is key, with regular sleep and wake times helping to establish healthy sleep patterns.

Have open conversations with your child about any worries or stresses they might be experiencing. Age-appropriate problem-solving and reassurance can reduce anxiety that contributes to grinding.

Most importantly, remember that the majority of children outgrow bruxism without lasting effects. Regular dental visits will ensure that any concerns are caught early and addressed appropriately.

Bruxism in Adults

While childhood bruxism often resolves naturally, adult bruxism typically requires active management and doesn't usually go away on its own.

Prevalence and Characteristics

Research indicates that about 8-10% of adults experience regular sleep bruxism, while approximately 23% have awake bruxism. The condition is slightly more common in young to middle-aged adults, with prevalence decreasing after age 60.

Unlike children, adults who develop or continue to experience bruxism typically require intervention to manage symptoms and prevent damage. The longer duration of grinding in adults often means that accumulated damage is more significant.

Adult-Specific Causes

Work-related stress and deadline pressure are major triggers for adult bruxism. The modern work environment, with its demands for productivity, multitasking, and constant connectivity, creates ongoing stress that can manifest as jaw clenching.

Financial stress and anxiety about money, debt, or economic security can contribute to both daytime and nighttime grinding.

Relationship issues, whether romantic, family, or social, create emotional stress that frequently triggers bruxism.

Major life transitions such as divorce, job loss, moving, caring for aging parents, or experiencing health problems can all precipitate or worsen teeth grinding.

Career demands and competitive work environments, particularly in high-stress professions, are associated with higher rates of bruxism. People in demanding careers may find themselves clenching their jaws during intense concentration or stressful situations.

Medication side effects become more common in adults, particularly with antidepressants, which are widely prescribed. The use of SSRIs and SNRIs increases significantly with age, and these medications are known to trigger or worsen bruxism.

Alcohol consumption patterns in adults, particularly regular or heavy drinking, can worsen sleep bruxism by disrupting sleep architecture and reducing muscle control during sleep.

Complications are More Common in Adults

Adults face more serious complications from bruxism because the cumulative effect of years of grinding can be substantial. Severe tooth damage, including fractures, significant enamel loss, and even tooth loss, becomes more likely with prolonged bruxism.

TMJ disorders are more prevalent in adults with chronic bruxism. The constant stress on the temporomandibular joint can lead to degenerative changes, chronic pain, and dysfunction.

Chronic pain conditions, including daily headaches and facial pain, can significantly impact quality of life and work productivity.

Sleep partner disturbance is a real concern for adults. The grinding sounds can disrupt a partner's sleep, potentially straining relationships. Some partners report being unable to sleep in the same room as someone with severe bruxism.

Impact on Daily Life

Adult bruxism can affect work performance and concentration. Chronic pain, headaches, and poor sleep quality can all reduce productivity and focus during the workday.

Social relationships may suffer if chronic pain leads to irritability or social withdrawal. Some people feel self-conscious about their worn teeth, which can affect confidence in social and professional situations.

The financial burden of repeated dental repairs, crowns, root canals, and other treatments can be substantial. Costs for dental restoration often far exceed the cost of preventive treatment with a night guard.

How Bruxism Is Diagnosed

Accurate diagnosis is essential for effective treatment. While you might suspect you have bruxism based on symptoms, a professional evaluation provides a comprehensive assessment and rules out other conditions.

Self-Recognition and Partner Observations

Many people first become aware of bruxism through a sleep partner who hears grinding sounds during the night or notices jaw clenching during the day. Self-awareness of daytime clenching, waking with jaw pain or headaches, or noticing tooth sensitivity can all prompt you to seek evaluation.

Dental Examination

Dentists are often the first healthcare providers to identify bruxism during routine checkups. They look for characteristic wear patterns on teeth, examining the occlusal surfaces (chewing surfaces) for flattening, which differs from normal wear patterns.

Your dentist will check for chips, cracks, and loose teeth, all of which can result from grinding forces. They'll also inspect existing dental work for damage or excessive wear.

Palpation of the jaw muscles helps assess tenderness and tightness. Your dentist will press on the masseter and temporalis muscles to check for pain or abnormal hardness.

Range of motion testing evaluates how well your temporomandibular joint functions. The dentist will ask you to open and close your mouth, move your jaw from side to side, and note any clicking, popping, or limitations.

Examination of the tongue and cheeks may reveal scalloped tongue edges or bite marks on the inner cheeks, indicating chronic clenching pressure.

Comprehensive Health History

Your dentist or doctor will ask detailed questions about your symptoms, including when pain occurs, what makes it better or worse, and whether you've noticed any grinding sounds or jaw clenching.

Questions about sleep quality, snoring, and breathing problems help identify potential sleep disorders. If you have a sleep partner, their observations about your sleep behaviors can be very valuable.

A medication review is essential since many drugs can cause or worsen bruxism. Be sure to mention all prescription medications, over-the-counter drugs, and supplements you take.

Your healthcare provider will ask about caffeine and alcohol intake, stress levels, and any recent life changes or ongoing stressors.

Sleep Studies

For some patients, particularly those with suspected sleep apnea or other sleep disorders, polysomnography (an overnight sleep study) may be recommended. This test monitors brain waves, breathing patterns, heart rate, blood oxygen levels, and muscle activity during sleep, providing detailed information about sleep quality and grinding episodes.

Polysomnography is considered the gold standard for definitively diagnosing sleep bruxism, though it's not necessary for all patients. The test can measure the frequency and intensity of grinding episodes and identify associated sleep disorders.

At-Home Monitoring

Several at-home monitoring tools are now available. Smartphone apps can record audio during sleep, potentially capturing grinding sounds. Some apps use the phone's microphone to detect grinding patterns.

Wearable devices and electromyography (EMG) sensors can measure jaw muscle activity. While not as comprehensive as a full sleep study, these tools can provide useful information about grinding frequency and patterns.

Sleep partners can keep a simple log, noting when they hear grinding sounds and how frequently they occur. This information helps your healthcare provider understand the severity of the problem.

Diagnostic Grading System

International experts have developed a grading system for bruxism diagnosis. "Possible bruxism" is based on self-reporting only, such as you saying you wake with jaw pain or believe you grind your teeth. "Probable bruxism" combines self-reporting with clinical examination findings like tooth wear or muscle tenderness. "Definite bruxism" requires instrumental assessment, such as polysomnography or EMG monitoring, in addition to symptoms and clinical signs.

Bruxism Treatment Options

Effective bruxism treatment typically involves a combination of approaches tailored to your specific situation. Because bruxism has multiple potential causes, treatment often needs to address several factors simultaneously.

There are several dental treatment options available to ease the symptoms of bruxism. And there are also a few options that help to restore the teeth if the bruxism is diagnosed too late.

Mouth Guards and Splints

Occlusal splints, commonly called night guards or mouth guards, are the most frequently recommended treatment for bruxism. These custom-fitted devices create a protective barrier between your upper and lower teeth, preventing damage from grinding forces.

According to dental experts, custom-fitted mouth guards made by dentists typically cost between $300-$800, though prices can exceed $1,000 depending on materials and complexity. Custom online providers offer similar quality guards for $100-$200, while over-the-counter options range from $15-$30.

There are several types of night guards, each suited to different severity levels. Soft guards are made of flexible rubber and work well for mild bruxism or jaw clenching. They're the most comfortable option, but may not withstand severe grinding.

Hard acrylic guards are durable and designed for moderate to severe bruxism. They're more rigid and longer-lasting than soft guards but may take longer to adjust to.

Dual-laminate guards feature soft material on the inside (against your teeth) and hard acrylic on the outside. These combine comfort with protection and are popular for moderate to severe grinding.

Custom-fitted guards made from dental impressions provide the best fit, comfort, and protection. They're designed specifically for your mouth's unique contours and tend to be more comfortable for extended wear than generic options.

How night guards work is straightforward but effective. They protect tooth enamel from wear by absorbing grinding forces. The barrier prevents direct tooth-to-tooth contact, significantly reducing damage. Many guards also help reduce muscle activity by providing a cushion that lightens jaw tension. Some are designed to slightly reposition the jaw, which can reduce strain on the temporomandibular joint.

Insurance coverage for night guards varies, but many dental plans cover at least a portion of the cost if deemed medically necessary. Insurance policies typically allow one custom night guard every 3-5 years, with coverage ranging from 50% to a fixed maximum amount.

Proper care extends the life of your night guard. Clean it daily with a soft toothbrush and mild soap or denture cleaner. Avoid hot water, which can warp the material. Store it in a protective case with ventilation holes to prevent bacterial growth. Inspect regularly for wear, cracks, or holes. Most guards last 1-5 years, depending on the severity of grinding and material type.

Dental Correction

For some patients, orthodontic treatment to correct misaligned teeth or bite problems may help reduce bruxism triggers. Braces or clear aligners can address malocclusion issues.

Crowns or onlays may be used to correct bite problems by reshaping tooth surfaces and establishing proper alignment.

Replacing missing teeth with bridges, implants, or dentures can restore proper bite function and potentially reduce grinding triggers.

Reshaping tooth surfaces through selective grinding (occlusal adjustment) is sometimes performed, though this approach is less common now as research hasn't shown it to be consistently effective for treating bruxism.

Dental Restoration

For teeth already damaged by bruxism, restorative treatments may be necessary. Repairing chipped or fractured teeth protects them from further damage and sensitivity. Replacing worn enamel with crowns, veneers, or bonding restores both function and appearance. Treating tooth sensitivity with desensitizing treatments or fluoride applications improves comfort.

Medical Treatments

Muscle relaxants may be prescribed for short-term use to reduce jaw muscle tension and grinding. Common options include cyclobenzaprine (Flexeril) or methocarbamol (Robaxin), typically taken before bedtime. These are not intended for long-term use due to side effects and tolerance development.

For anxiety-related bruxism, anti-anxiety medications may help, though careful selection is important since some medications (like SSRIs) can actually worsen bruxism. Buspirone is sometimes used to counteract SSRI-induced bruxism.

Botox (botulinum toxin) injections represent a more advanced treatment for severe bruxism that hasn't responded to other approaches. Botox is injected directly into the masseter and temporalis muscles, temporarily weakening them and reducing grinding force. Effects typically last 3-6 months, after which treatment must be repeated. This option is usually reserved for severe cases due to cost and the need for repeated treatments.

Pain management medications, including over-the-counter pain relievers like ibuprofen or acetaminophen, can help manage acute pain from bruxism but don't address the underlying cause.

If sleep-related bruxism is severe, sleep aids might be considered, though these must be carefully prescribed as some can worsen the condition.

Treatment of Underlying Conditions

Treating obstructive sleep apnea with CPAP (continuous positive airway pressure) therapy often reduces associated bruxism. The improved sleep quality and breathing can decrease grinding episodes significantly.

Managing GERD with dietary changes, elevation of the head during sleep, and acid-reducing medications may help reduce reflux-triggered grinding.

If medication-induced bruxism is identified, working with your prescribing physician to adjust dosages, switch medications, or add medications to counteract the side effect can be highly effective. For SSRI-induced bruxism, adding buspirone or switching to a different antidepressant often resolves the problem.

Mental health treatment for anxiety, depression, or other mood disorders addresses one of the root causes of bruxism. Therapy, counseling, and appropriate medication can reduce stress-related grinding.

Behavioral and Therapeutic Approaches

Behavioral and therapeutic approaches address the psychological and habitual components of bruxism. These methods can be highly effective, especially when combined with protective devices like night guards. They work by reducing stress, increasing awareness of grinding behaviors, and teaching you techniques to consciously relax your jaw muscles.

Stress Management

Cognitive behavioral therapy (CBT) helps identify and change thought patterns that contribute to stress and anxiety. CBT can be particularly effective for people whose bruxism is primarily stress-related.

Relaxation techniques provide practical tools for reducing overall tension. Progressive muscle relaxation involves systematically tensing and releasing muscle groups throughout the body, including the jaw. Guided imagery uses mental visualization to promote relaxation and reduce stress.

Meditation and mindfulness practices help develop awareness of body tension and teach you to consciously relax. Even 10-15 minutes of daily meditation can reduce stress levels and potentially decrease bruxism.

Yoga and tai chi combine physical movement with breath control and mental focus, addressing both physical tension and psychological stress.

Breathing exercises, particularly diaphragmatic breathing, activate the body's relaxation response and can be used throughout the day when you notice jaw tension.

Professional counseling or therapy helps address underlying emotional issues, life stressors, or psychological conditions that may be triggering bruxism.

Biofeedback

Biofeedback training uses electronic monitoring devices to help you become aware of muscle tension and learn to control it. For awake bruxism, this can be particularly effective.

Electronic biofeedback devices measure jaw muscle activity through sensors placed on the face. When muscle tension reaches a certain threshold, the device provides feedback through a sound, vibration, or visual signal.

Training sessions teach you to recognize tension patterns and consciously relax your jaw muscles in response to the feedback. Over time, this awareness can become automatic, helping you catch and stop clenching before it becomes problematic.

While biofeedback is more effective for awake bruxism than sleep bruxism, some devices are designed to detect nighttime grinding and provide gentle alerts (like vibration) to help you shift sleep positions or reduce muscle activity without fully waking.

Habit Reversal Training

Habit reversal training is a behavioral technique specifically designed to break unconscious habits like teeth grinding and jaw clenching. The process involves three main components.

Awareness exercises help you recognize when and where grinding occurs. You learn to identify triggers, situations, and times when you're most likely to clench your jaw. Keeping a log of clenching episodes, noting what you were doing, thinking, or feeling at the time, helps identify patterns.

Competing response training teaches you an alternative behavior that's physically incompatible with grinding. When you notice jaw tension, you practice placing your tongue between your teeth or positioning it on the roof of your mouth behind your front teeth. This position makes it impossible to clench or grind effectively.

Conscious relaxation of the jaw becomes a regular practice. Throughout the day, you periodically check your jaw position and consciously relax it, allowing your teeth to part slightly and your jaw muscles to soften.

Physical Therapy

Physical therapy approaches focus on reducing muscle tension, improving jaw function, and addressing musculoskeletal factors that contribute to bruxism.

Jaw exercises and stretches help increase mobility and reduce tension. Gentle opening and closing exercises, side-to-side movements, and resistance exercises can strengthen and relax jaw muscles. Your physical therapist or dentist can teach you specific exercises appropriate for your condition.

Massage therapy targeting the masseter, temporalis, and other facial muscles can provide significant relief. Self-massage techniques allow you to address tension at home, while professional massage therapy addresses deeper muscle layers.

Heat and cold therapy can be used alternately or separately. Warm compresses increase blood flow and relax muscles, while cold packs reduce inflammation and numb pain. Many people find alternating between the two particularly effective.

Ultrasound therapy uses sound waves to deliver deep heat to tissues, promoting healing and reducing muscle tension. This treatment is typically provided by physical therapists.

Posture correction addresses neck and shoulder alignment issues that can contribute to jaw tension. Poor posture, particularly forward head position common with desk work and phone use, can increase strain on jaw muscles.

Lifestyle Modifications

Making specific lifestyle changes can significantly reduce bruxism triggers and improve your overall condition. These modifications work best when combined with other treatment approaches and address the daily habits that contribute to teeth grinding.

Dietary Changes

Reducing caffeine intake, particularly in the afternoon and evening, can help decrease muscle tension and improve sleep quality. Consider switching to decaffeinated coffee or tea, limiting energy drinks, and being aware of hidden caffeine sources like chocolate and some medications.

Limiting alcohol consumption is important because alcohol disrupts sleep architecture and can increase grinding episodes. If you do drink, avoid alcohol within 3-4 hours of bedtime.

Avoiding hard foods that stress the jaw gives your muscles a chance to rest and recover. During flare-ups of bruxism symptoms, stick to softer foods and cut items into smaller pieces to minimize chewing effort. Avoid chewy foods like tough meats, bagels, and gummy candies.

Adequate hydration supports overall muscle function and health. Dehydration can increase muscle cramping and tension, potentially worsening bruxism.

Anti-inflammatory foods may help reduce pain and inflammation associated with chronic bruxism. Include omega-3 fatty acids from fish, walnuts, and flaxseed, as well as colorful fruits and vegetables rich in antioxidants.

Sleep Hygiene

Maintaining a consistent sleep schedule helps regulate your body's internal clock and improve sleep quality. Go to bed and wake up at the same time every day, even on weekends.

Creating a relaxing bedtime routine signals your body that it's time to wind down. This might include taking a warm bath, reading, gentle stretching, or listening to calming music. Start your routine 30-60 minutes before bedtime.

Optimizing your sleep environment can improve sleep quality and potentially reduce grinding. Keep your bedroom cool (around 65-68°F or 18-20°C), dark, and quiet. Consider blackout curtains, white noise machines, or earplugs if needed.

Sleep position considerations may help some people. Sleeping on your back rather than your stomach can reduce jaw tension, though this doesn't work for everyone and isn't recommended for people with sleep apnea.

Avoiding screens before bed is crucial because blue light from phones, tablets, and computers can interfere with melatonin production and delay sleep onset. Stop using electronic devices at least one hour before bedtime.

Daily Habits

Developing awareness throughout the day helps you catch and stop clenching before it becomes habitual. Set periodic reminders on your phone to check your jaw position and consciously relax.

Regular jaw relaxation exercises can become part of your routine. Every hour or two, consciously drop your jaw, let your teeth part slightly, and place your tongue on the roof of your mouth.

Practicing stress reduction throughout the day prevents tension from building up. Take short breaks, practice deep breathing, and address stressful situations proactively rather than letting stress accumulate.

Avoiding gum chewing eliminates repetitive jaw movements that can increase muscle tension and trigger clenching.

Not holding objects with your teeth, whether it's a pen, phone, or anything else, prevents unnecessary jaw strain and reduces the likelihood of developing clenching habits.

Alternative and Complementary Treatments

Some people find relief from bruxism symptoms through alternative and complementary approaches. While scientific evidence for these methods varies, many patients report subjective benefits.

Home Remedies

Warm compress application before bed can help relax jaw muscles and reduce nighttime grinding. Apply a warm, damp cloth to the sides of your face for 10-15 minutes.

Gentle jaw massage using circular motions on the masseter muscles (the large muscles at the angle of your jaw) can provide immediate relief from tension and soreness.

Magnesium supplements may help some people, as magnesium plays a role in muscle relaxation. Some studies suggest that magnesium deficiency might contribute to bruxism, though evidence is limited. If you try magnesium, consult your healthcare provider about appropriate dosing.

Herbal teas with calming properties, such as chamomile, valerian root, passionflower, or lavender, may promote relaxation and improve sleep quality when consumed before bedtime.

Essential oils for relaxation, particularly lavender, can be used in a diffuser or diluted and applied to the temples or jaw area. While they don't directly treat bruxism, they may reduce stress and promote better sleep.

It's important to note that evidence for these home remedies is largely anecdotal or limited. They're best used as complementary approaches alongside proven treatments rather than as sole therapies.

Acupuncture

Traditional acupuncture involves inserting thin needles at specific points on the body to promote healing and relaxation. Some practitioners target points related to jaw tension, stress, and sleep quality.

Evidence for acupuncture's effectiveness in treating bruxism is mixed. Some small studies have shown promise, particularly for reducing pain associated with bruxism, but larger, well-designed studies are needed.

If you're interested in trying acupuncture, find a qualified, licensed practitioner who has experience treating jaw disorders or pain conditions. Acupuncture is generally considered safe when performed by trained professionals.

How to Prevent Bruxism

While not all bruxism can be prevented, especially when genetic factors or medical conditions are involved, there are proactive strategies that can reduce your risk or prevent recurrence after successful treatment.

Stress Prevention and Management

Building regular stress management practices into your daily routine is perhaps the most important preventive measure. This includes regular exercise, which reduces overall stress hormones and promotes better sleep. Aim for at least 30 minutes of moderate activity most days of the week.

Maintaining work-life balance helps prevent the chronic stress that triggers bruxism. Set boundaries around work hours, take regular breaks, and make time for activities you enjoy.

Developing effective time management strategies reduces the feeling of being overwhelmed. Prioritize tasks, break large projects into manageable steps, and learn to say no to unnecessary commitments.

Setting boundaries in relationships and at work protects your mental health and reduces stress exposure. It's okay to decline requests that would overextend you.

Sleep Health

Maintaining a consistent sleep schedule, even on weekends, helps regulate your circadian rhythm and improve sleep quality. This consistency can reduce sleep-related bruxism triggers.

Creating an optimal sleep environment means keeping your bedroom dark, quiet, cool, and comfortable. Invest in a supportive mattress and pillow that maintain proper neck and spine alignment.

Addressing sleep disorders promptly is crucial. If you snore loudly, wake up gasping, or feel unrested despite adequate sleep time, get evaluated for sleep apnea and other sleep disorders.

Avoiding sleep disruptors in the hours before bed includes limiting caffeine after 2 PM, avoiding heavy meals within 3 hours of bedtime, and limiting alcohol consumption.

Dental Health Maintenance

Regular dental checkups, ideally every six months, allow your dentist to identify early signs of bruxism before significant damage occurs. Early intervention is far more effective and less costly than treating advanced damage.

Addressing dental issues promptly prevents problems that might trigger or worsen grinding. Fix cavities, replace missing teeth, and address bite problems as soon as they're identified.

Maintaining proper bite alignment through orthodontic treatment when needed can reduce grinding triggers. While malocclusion isn't the primary cause of bruxism, correcting significant bite problems may help.

Good oral hygiene, including brushing twice daily and flossing regularly, keeps your teeth and gums healthy, making them more resilient to the effects of grinding.

Lifestyle Choices

Limiting stimulants, particularly caffeine, helps reduce muscle tension and improve sleep quality. If you're prone to bruxism, avoid caffeine after noon and consider reducing overall consumption.

Moderating alcohol consumption is important since alcohol disrupts sleep patterns and can worsen grinding. If you drink, do so in moderation and avoid alcohol close to bedtime.

Avoiding recreational drugs, particularly stimulants, eliminates a major bruxism trigger. Drugs like cocaine, methamphetamine, and MDMA significantly increase grinding risk.

Tobacco cessation provides numerous health benefits, including potentially reducing bruxism. Smokers have higher rates of teeth grinding than nonsmokers.

Bruxism Prevention in Children

For children, reducing stressors means creating a stable, secure home environment, managing school and social pressures, and addressing major life transitions thoughtfully.

Creating positive sleep associations helps children develop healthy sleep patterns. Establish consistent, calming bedtime routines that help your child relax and feel secure.

Addressing pain promptly, whether from teething, ear infections, or other sources, removes potential grinding triggers. Don't let your child suffer unnecessarily.

Regular dental visits starting at age one allow early identification of any grinding issues and ensure proper dental development.

Complications of Untreated Bruxism

Understanding the potential long-term consequences of untreated bruxism can motivate you to seek treatment early, before serious damage occurs. While bruxism may seem like a minor annoyance initially, chronic grinding can lead to significant problems.

Dental Complications

Severe tooth wear and damage is perhaps the most obvious consequence. Over time, the constant grinding wears away the protective enamel layer, exposing the softer dentin underneath. Teeth become progressively shorter, flatter, and more fragile.

Tooth fractures and loss can result from the excessive forces exerted during grinding. Even teeth without visible cracks may develop microfractures that eventually lead to breaks. In severe cases, teeth may need to be extracted if damage is too extensive to repair.

Damaged dental work requires frequent replacement. Fillings, crowns, bridges, and other restorations experience accelerated wear and may crack, chip, or fall out. The cost of repeatedly replacing dental work can be substantial, often far exceeding the cost of preventive treatment.

Gum recession and sensitivity can occur as the constant pressure and movement affect the gum tissue. Receding gums expose tooth roots, leading to increased sensitivity and a higher risk of decay.

TMJ disorders (temporomandibular joint dysfunction) often develop from chronic bruxism. The constant strain on the jaw joints can lead to inflammation, arthritis, disc displacement, and chronic dysfunction that may require extensive treatment.

Increased dental costs over time add up significantly. The cumulative cost of treating bruxism-related damage, including crowns, root canals, extractions, and implants, typically far exceeds the cost of preventive measures like night guards.

Health Complications

Chronic pain syndromes can develop when bruxism continues untreated for years. The constant muscle tension and inflammation can lead to persistent pain that's difficult to treat.

Chronic headaches and migraines affect many people with long-term bruxism. These headaches can be debilitating, affecting work performance and quality of life.

TMJ dysfunction creates ongoing problems with jaw opening, clicking, locking, and pain that interferes with eating, speaking, and daily activities.

Sleep disruption affects both the person grinding their teeth and their sleep partner. Poor sleep quality leads to daytime fatigue, reduced cognitive function, and decreased quality of life.

Appearance Changes

Shortened teeth from years of wear can dramatically alter your smile and appearance. This can affect self-confidence and may require extensive cosmetic dentistry to correct.

Changes in facial appearance can occur over time as the vertical dimension of your bite decreases with tooth wear. Some people develop a more aged appearance with shorter facial height.

Jaw muscle hypertrophy (enlarged jaw muscles) results from the constant muscle activity. The masseter muscles may become noticeably enlarged, creating a more square-jawed appearance that some people find undesirable.

Psychological Impact

Stress about dental damage creates a vicious cycle. Worrying about the cost and extent of tooth damage can increase stress, which may worsen grinding.

Self-consciousness about smile appearance affects confidence in social and professional situations. Worn, damaged, or missing teeth can make people reluctant to smile or speak openly.

Relationship strain from sleep disturbance can create tension between partners. The grinding sounds and sleep disruption may force couples to sleep separately, affecting intimacy and relationship quality.

Anxiety about the costs of treatment and repairs can be overwhelming, particularly without dental insurance or with limited coverage.

Living with Bruxism

Bruxism is a chronic condition that often requires ongoing management rather than a one-time cure. Learning to live well with bruxism means developing sustainable habits and strategies that fit into your daily life.

Daily Management Strategies

Incorporating jaw exercises into your daily routine helps maintain flexibility and reduce tension. Simple exercises done several times daily can make a significant difference. These might include gentle opening and closing, side-to-side movements, and resistance exercises with your hand.

Regular mouth guard use is essential if you've been prescribed one. Make wearing your night guard as automatic as brushing your teeth. Keep it in a visible location as a reminder, and establish a routine for cleaning it each morning.

Monitoring stress levels helps you catch increases before they trigger worsening bruxism. Pay attention to your body's signals and implement stress-reduction techniques when you notice tension building.

Self-care practices, including adequate sleep, regular exercise, healthy eating, and stress management, create a foundation for managing bruxism long-term.

Monitoring Progress

Tracking symptoms in a journal or app helps you identify patterns and assess whether treatments are working. Note pain levels, grinding episodes (if known), stress levels, and any treatments or lifestyle changes you've tried.

Regular dental follow-ups, typically every 6-12 months for bruxism patients, allow your dentist to monitor tooth wear and assess whether your current treatment plan is adequate.

Adjusting treatment as needed is normal. What works initially may need modification over time. Be open to trying new approaches or combining different strategies.

Recognizing triggers helps you anticipate and prepare for periods when bruxism may worsen. Common triggers include major life changes, work deadlines, relationship stress, or changes in medication.

Long-term Outlook

Many people successfully manage bruxism with appropriate treatment and lifestyle modifications. While the condition may not disappear completely, it can be controlled effectively to prevent damage and minimize symptoms.

Combination approaches are often most effective. Using a night guard while also addressing stress, improving sleep hygiene, and practicing jaw relaxation techniques typically yields better results than any single intervention.

The importance of ongoing management cannot be overstated. Bruxism tends to be a chronic condition that requires continued attention. Even if symptoms improve significantly, maintaining preventive habits helps prevent recurrence.

Symptoms may recur during stress periods, even with good management. This is normal and expected. Having a plan for managing flare-ups helps you respond quickly and effectively.

Support and Resources

Finding support groups, whether online or in-person, can provide valuable emotional support and practical tips from others dealing with bruxism. Sharing experiences and strategies can be incredibly helpful.

Working with your healthcare team, including your dentist, doctor, and potentially a physical therapist or mental health professional, ensures comprehensive care that addresses all aspects of your condition.

Educational resources from reputable organizations like the American Dental Association, Mayo Clinic, and National Sleep Foundation provide evidence-based information about bruxism management.

Know when to seek additional help. If your symptoms worsen despite treatment, if you develop new symptoms, or if pain becomes severe, consult your healthcare providers for additional evaluation and treatment options.

Conclusion

Bruxism is far more common than many people realize, affecting millions of adults and children worldwide. Whether you grind your teeth during sleep or clench your jaw during stressful moments, understanding that you're not alone and that effective treatments exist is the first step toward finding relief.

The key to successfully managing bruxism lies in early intervention and a comprehensive approach. A custom night guard can protect your teeth from further damage, while stress management techniques, lifestyle modifications, and treating underlying conditions address the root causes. Remember that what works for one person may not work for another, so be patient as you and your healthcare providers find the right combination of treatments for your specific situation.

Don't wait until you've experienced significant tooth damage or chronic pain to take action. If you suspect you have bruxism, schedule a dental appointment for a proper evaluation. Your dentist can assess the extent of any damage, recommend appropriate protective measures, and help you develop a comprehensive treatment plan.

With the right approach, bruxism is a manageable condition. Many people find significant relief through relatively simple interventions like wearing a night guard and practicing stress-reduction techniques. Take the first step today toward protecting your teeth, reducing your pain, and improving your quality of life.

This article is for informational purposes only and does not constitute medical advice. Always consult with qualified healthcare professionals for diagnosis and treatment recommendations specific to your situation.

Frequently Asked Questions

What is bruxism?

Bruxism is the medical term for teeth grinding and jaw clenching, either during sleep or while awake. It's an involuntary movement that can cause tooth damage, jaw pain, and headaches if left untreated.

What causes teeth grinding at night?

Sleep bruxism is caused by stress, anxiety, sleep disorders, misaligned bite, certain medications, and genetic factors. Sleep apnea and other sleep-related breathing disorders frequently trigger nighttime grinding episodes.

How do I know if I grind my teeth?

Common signs include waking with jaw pain, headaches, worn or sensitive teeth, and grinding sounds during sleep. Your dentist can also identify tooth wear patterns during routine examinations.

Can bruxism cause permanent damage?

Yes, untreated bruxism can cause severe tooth wear, fractures, tooth loss, jaw disorders (TMJ/TMD), and chronic pain. However, with proper treatment, damage can be prevented and managed effectively.

What is the best treatment for bruxism?

The most effective treatment combines a custom night guard to protect teeth with stress management and addressing underlying causes. Treatment should be personalized based on bruxism type and severity.

Do I need to see a dentist for teeth grinding?

Yes, if you experience jaw pain, headaches, tooth damage, or grinding sounds during sleep. Dentists can diagnose bruxism, assess damage, and recommend appropriate treatment before complications develop.

Will bruxism go away on its own?

Childhood bruxism often resolves naturally. In adults, it typically requires active management. Stress-related bruxism may improve when stressors are addressed, but chronic cases usually need ongoing treatment.

How much does bruxism treatment cost?

Custom night guards range from $200-$600. Over-the-counter guards cost $20-$100. Additional treatments vary. Many dental insurance plans cover night guards. Untreated bruxism often costs more in dental repairs.

Can children have bruxism?

Yes, 15-40% of children grind their teeth, commonly during teething and early development. Most children outgrow it naturally, but severe cases may need treatment to prevent damage.

Is bruxism related to stress?

Yes, stress and anxiety are leading causes of bruxism in both adults and children. Stress management, relaxation techniques, and addressing underlying anxiety often significantly reduce grinding episodes.

Can bruxism cause TMJ?

Yes, chronic bruxism is a major cause of TMJ disorders. The constant grinding and clenching strain the jaw joints and muscles, leading to temporomandibular joint dysfunction and pain.

What's the difference between grinding and clenching?

Grinding involves moving the jaw side-to-side or back-and-forth, creating friction between teeth. Clenching means tightly holding teeth together without movement. Both cause similar damage and symptoms.

Continue Reading